...à périodicité très variable, ouverte le 23 février de l'an de grâces (matinée) 2014...
et (presque) fermé en janvier 2017
PRÉ EN BULLE
Cette page n'est subventionnée par aucune collectivité territoriale, car nous détestons la littérature de faussaires à la main d'organismes bidons ( Offices, fausses assos, EPCC...), instrumentalisés en sous main par des élus.
Quand, par le passé, les gouvernants, ou leurs porte-plumes serviles, se sont occupés de régenter art ou littérature, on a aussitôt pu constater la régression mentale.
(avec la complicité de Léonor Fini, ici à droite)
Le mot "Bretagne" de ce titre n'implique aucune allégeance à un quelconque communautarisme, autonomisme ou indépendantisme. Il situe juste le lieu de la culture (et parfois de la langue) d'où nous écrivons. Notre regard essaie de porter plus loin que les Régions, les États, les continents... ou les galaxies, car nos territoires sont avant tout imaginés.
Vous avez de bonnes griffes, vous aimez la couleur, vous aimez ouvrir votre gueule, vous détestez la censure ...cette page est à vous
Si votre contribution ou réaction est retenue par le "comité éditorial tricéphale" *, à humeur bien tempérée, votre signature (ou pseudo) y figurera. Les réactions parvenant à l'adresse du site seront toutes publiées.
* à savoir : Régine Mary (Iso), Gilles Knopp (Knoppy) et Jean Kergrist (JK)
Pour un formatage américain à réactivité immédiate, il faudra vous adresser au logiciel Wordpress. Ici on prend le temps des relations humaines et des labyrinthes rigolos des fêtes foraines. On s'en fout totalement du nombre de zamis sur fesse-bouc.
On n'est pas à un jour près, ni à un mois.
On prend le temps, avant d'écrire, de tourner 7 fois la plume dans l'encrier des sentiments. On amène ses crayons de couleur, on s'écoute, on se cause et on se contredit courtoisement. Pour vos plaidoyers en faveurs du Front National, du pâté Hénaff, de la Légion étrangère, de l'Institut de Locarn, ou de l'agriculture productiviste, adressez plutôt vos textes à Minute ou à La France Agricole.
Depuis fin février 2014, sur cette page, déjà près de 400 articles (tous en ligne). Pour faciliter leur repérage, ils sont numérotés. Le moteur de recherche interne vous permet de trouver les thèmes abordés ou les personnes citées.
Marquez cette page dans vos onglets de favoris et merci de la signaler à vos amis et proches.
Pour publication ou commentaire, rendez-vous à la page contact du site. Textes et commentaires (sans injures ni diffamation) pas trop longs si possible.
Aucune censure : ils seront publiés intégralement.
…le défilé du 14 juillet en a été la preuve. Aucune militante femen dépoitraillée n’est venue troubler le cortège ce lundi dernier. Faut pas confondre la soldatesque avec les cloches de Notre-Dame. Pas d’intermittents non plus à l’horizon, malgré une chorégraphie finale interprétée par danseurs et danseuses pro.
Après un corps de poilus réchappé de la guerre 14-18, forcément sans femmes car c’était pas dans l’air des tranchées, « La Madelon », interprété par une chorale militaire, donnait le ton de ce défilé new look placé sous le signe de la parité et du rebond dans les sondages
Alors que dans la tribune officielle, le président et ses invités n’en finissaient pas de vérifier leurs nœuds de cravate –d’où l’expression « tête de nœud »- et les boutons de leurs vestes – toujours prêtes à être retournées-, les jupes apparaissaient enfin sur les Champs Élysée. Des caméras de TF1, placées ras du sol, se faisaient un plaisir de nous les montrer d’en bas. Hommage révolutionnaire appuyé aux sans culottes. Petit instant d’érotisme dans une liturgie solennelle consacrée au rituel guerrier.
Certes le corps de santé des armées est déjà à 55% féminin. Soigner est une affaire de femmes. Pour tuer, elles ont encore des progrès à faire.
Comme les différentes armes défilent par groupes et que, dans ces groupes, les plus grands sont placés devant, les femmes sont toujours reléguées aux derniers rangs.
Autre petite chance de tenir la vedette en tête de peloton : ceux dont la batterie de décorations est bien pendante. Les femmes n’affichent que peu de breloques sur leur poitrine, à croire qu’elle n’ont toujours combattu qu’aux arrières lignes. Doublement donc reléguées aux derniers rangs.
La poitrine : c’est là que le bât blesse et que le saint sa fesse. Suffit pas de l’avoir bien gonflée pour devenir une héros. Cet attrayant accessoire typiquement féminin serait, dit-on, plutôt lié à la procréation (Pour les hommes ce sont les couilles. Celles de nos valeureux guerriers, hélas, ne se remarquaient point dans le défilé ! ). Donner la vie ou tuer, faut choisir ! Portée à hauteur de nibards, la mitraillette leur va pourtant si bien. Suffit ensuite de viser l’ennemi à l'endroit stratégique. Et à nous les médailles ! Plus glorieux que de pendre celles du grand-père dans l’escalier !
Femmes parachutistes, fusiliers marins, pilotes d’avions, pompiers, ont osé troquer la jupe traditionnelle pour le pantalon de treillis. Au lieu du béret ou du képi, seul le petit chapeau désormais les distingue des mecs. Leur trop petite cervelle les rend encore inaptes à porter le grand béret blanc des chasseurs alpins.
Sur la fin du défilé, un corps d’armée où les femmes n’ont que peu de chance de briller : les légionnaires à tablier de boucher, hache sur l’épaule. Ils doivent obligatoirement porter longue barbe au menton. Hélas, les femmes à barbe sont toutes réquistionnées par les cirques !
La chorégraphie finale avec lâcher de colombes -un homme, une femme- sauvait in extremis la parité et rachetait celle, plutôt lourdingue, de la cérémonie du débarquement, le mois passé.
Le président était content. Il serrait longuement les louches des spectateurs énamourés. Un seul regret : le sous-marin d’attaque la Perle, spécialement dérouté pour TF1, n’a pu défiler sur les Champs. C’est bien dommage ! Sûrement qu’il était affrété par Fellini, avec plein de femmes aux poitrines opulentes dans les ballasts ! Ou des poupées gonflables pour éviter le naufrage dans les sondages ?
COMMENTAIRE 18/07/14
-ah ah les femmes dans l'armée ! je suppose que le convexe à hauteur de poitrine doit nettement perturber la ligne de démarquement dans les défilés du 14 juillet sur les Champs Elysées et pas que !
Iso
COMMENTAIRES 15/07/14
HOUAOW Docteur Knoppusssss ! C'est fabuluxxxxxxx! ça nous tient en haleine et puis la route jusqu'à Carhaixus nous coûtera moins cher qu'un aller-retour à Cap Canaveral ! Quel lancement ! Je n'avais pas prévu d'aller cet été aux confins de la Galaxie !
Génial ! ça va me changer des départementales, alors MERCIIIIIIIIIII
Po croyabe, un musée de la déportation !
FONCE et t'occupe pas de nous !
Le triporteur est en roue libre ...
Le colonel fait son comédien quand il est pas dans son jardin à faire pousser ses patates rien qu'à la force de l'esprit
Et moi je bosse toujours à mon compte avec un pinceau, faudrait peut être que je songe à faire valider mes acquis pour une équivalence CAP de peintre en bâtiment si je veux faire une conférence pour défendre les artisans !
A bientôt pour le grand saut Youpi
Iso
De mes yeux, aujourd'hui, j'ai vu du grand Knoppy. À ne pas mettre devant toutes les mirettes. D'ailleurs un avertissement, placé à l'entrée de l'installation diabolique précise que "la Direction se réserve le droit de refuser l'entrée de l'établissement à toute personne manifestement sous l'emprise d'une crétinerie congénitale." et aussi "pour des raisons de sécurité et d'hygiène, les enfants de moins de 12 ans ne seront pas admis dans le musée, même tenus en laisse."
La fontaine de Marcel Duchamp est définitivement reléguée aux pissotières.
La rédaction triphasée de "Page de Bretagne" accorde un 500 sur l'échelle de l'art en Bretagne à cette installation hors père. Comme ordre de grandeur, les statues en bronze des sœurs Goadec (cf plus bas l'article 88) n'ont obtenu qu'un 10. Le chiffre indique le nombre de km qu'on peut avaler les yeux fermés, sans crainte d'être déçu. Si une telle déception s'avérait malgré tout après avoir parcouru ces 500 km pour voir l'œuvre de Knoppy, notre rédaction s'engage à rembourser l'essence ainsi investie à perte.
JK
Si je me rappelle bien Arnaud Montebourg était avocat avant d'être ministre ...
Sarko aussi ...
On comprend mieux pourquoi ils s'accrochent à leur destin politique !
Attention Attention !
Après la célèbre phrase de Roger Nickel "la France a peur"
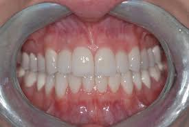
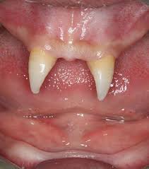
LA FRANCE A MAL AUX DENTS
Allo mamie ! J'ai eu mon bac avec mention !
Ah ben alors cours au C.I.C !
(En voix off ) Répète-lui, elle a rien compris, elle entend mal !
Allo mamie ! J'ai eu mon bac avec mention !
Oui ben je ne suis pas sourde, je te dis cours au C.I.C !
Le CIC récompense les jeunes qui ont eu leur bac avec mention
Pour une mention très bien le CIC leur offre 160 euros
Pour une mention bien 80 euros
Pour une mention assez bien 40 euros, pour leur permettre d'ouvrir... un compte EPARGNE ! ! !
Ah vraiment, tous les français ont une bonne raison d'aimer leur banque. Quelle chance ! Tout est logique. Bon, les étudiants doivent courir à la banque, elle va leur ouvrir un compte épargne, pour leur faire un prêt, pour leur permettre de faire des études. Et comme ils auront fait un prêt, tout en étudiant, ils trouveront aussitôt un petit boulot très mal payé, pour leur permettre d'épargner, pour rembourser leur prêt étudiant après ! C'est génial non ? Bon, c'est génial et très bien organisé, mais la patrie est en danger ! Arnaud Montebourg disait ce vendredi matin sur France Inter que les français n'étaient pas sérieux, ils ont trop d'épargne ! 36 milliards d'épargne en France, c'est honteux ! Alors que cet argent devrait circuler pour le bien de tous et de chacun. Ah vraiment plus rien ne va, les français épargnent, on se demande bien pourquoi ! ???
Non là, franchement disait Arnaud, notre ministre de l'économie, le français manque d'envergure et d'optimisme, et les entreprises aussi. Le français gèle la croissance en épargnant. Le français doit devenir dépensier ! On supposait que c'était justement pour cette raison, que les intérêts du livret A des petits épargnants venaient de chuter à 1% et pas pour longtemps, un taux d'épargne autour de Zéro pour cent serait vraiment plus cohérent ! Quant aux entreprises, qu'elles investissent bon sang ! C'est d'ailleurs ce que va faire le gouvernement ! Bon, il va le faire avec des fonds privés, puisqu'il faut réaliser des économies bien sûr, il va emprunter. Mais le gouvernement va relancer des grands travaux ! Pour s'en sortir, autrefois, la France a réalisé de grandes choses ! Des grands barrages, tenez, des travaux conséquents ! Nous allons aller vers là, pour créer des emplois. Et puis nous avons désigné 37 métiers qui doivent faire des efforts ! Pour que les français fassent des économies, les taxis, les dentistes, les prothésistes, les avocats, les huissiers, les notaires ... coûtent trop cher ! Ils vont devoir participer à l'effort collectif de serrage de ceinture ! Rien que de plus normal, ils ont tous une grosse voiture ... ceux là peuvent lâcher du lest en allégeant leurs factures ! Allez hop ... Comme c'est bien pensé ! Donc le revenu moyen des français une fois leurs impôts payés remontera du simple fait qu'ils paieront leurs huissiers leurs avocats leurs notaires leurs taxis et leurs dentistes moins cher ! HOURRA ! Vive la rigueur budgétaire, c'est à cause de la concurrence des pays émergents qui nous foutent dedans ! ! ! Alors, pour trouver un peu d'argent, les services publics doivent s'alléger de leur patrimoine et de leur entretien. Pour rembourser la dette, rien de plus simple que de vendre nos monuments historiques, et nos sanctuaires à qui voudra les acheter, avant qu'on s'oblige nous-mêmes à les rénover et à les rendre accessibles aux handicapés ! Vendons tout ce qui nous coûte. Fuyons les dépenses, et économisons pour rembourser la dette. Et restaurons l'appareil productif dégradé par de longues années d'inaction et de désinvolture. En gros les patrons sont tous des fainéants et leurs ouvriers des ex ou des futurs chômeurs en puissance ! Allons, faut bosser les gars !
Allons allons, la rigueur, ça ne peut pas faire de mal, disait le ministre, menteur comme un arracheur de dents, place aux grands projets, aux grands travaux.
Ce discours m'a rappelé le projet de barrage du Mont Saint-Michel confié à VEOLIA Eau et VEOLIA Transport en 2005 le vaste chantier devait se terminer en 2015 et rétablir le caractère maritime du Mont Saint-Michel ! ??? Allez faire un tour du côté du financement ... et de la délégation de préservation et d'entretien après la livraison du chantier ... de la 8ème merveille de l'humanité...
Alors pour résumer, nous pouvons nous attendre à voir défiler partout en France, les notaires avec les huissiers et les avocats avec les dentistes les auto-écoles et les taxis en même temps ... Personnellement je ne voudrais pas manquer ça, pour pouvoir au moins les remercier de nous faire gagner 6 milliards d'euros qu'ils vont perdre eux, de leur côté ! Faut essayer autre chose que l'austérité européenne disait Monsieur le ministre, regardez les USA, ils sont en très bonne santé ! Il oubliait les 57 millions d'américains qui ne mangent chaque jour qu'avec des bons d'alimentation, mais c'était un détail !
On peut imaginer pour faire rentrer du pognon dans les caisses, que nos points d'eau cartographiés hier, pour repérer les zones humides ... seront tous vendus demain à VEOLIA qui nous fera de très jolis barrages pour nous fabriquer de l'énergie verte et des emplois, nos ports à BOLLORE et nos châteaux au groupe ACCOR alors que nos terres sont en train d'être vendues aux chinois !
Avec tout ça, de ma fenêtre, en écoutant le ministre, j'imaginais que mon pays allait sacrément avoir mal aux dents dans les années qui viennent ... vu le nombre de dentistes à partir à la retraite et le nombre des autres à mettre la clef sous la porte ...
Alors, si je peux me permettre un petit conseil comme ça, juste en passant :
Si vous avez besoin de soins dentaires, dépêchez-vous de taper dans votre EPARGNE avant que l' ETAT ne le fasse pour vous !
Sinon, vous n'avez pas fini d'avoir mal aux dents !
COMMENTAIRES 13/07/14
- Pour être honnête, chère Iso, je crois bien avoir entendu Montebourg sur France Inter parler des "prothésistes dentaires", non des dentistes. Seuls ceux qui portent des dentiers sont concernés. Quant aux avocats, bien fait pour leur gueule : des flemmards incompétents qui ne songent qu’à racoler les conflits pour taxer leurs clients !
Comme toi, ce qui m’inquiète surtout ce sont les barrages. Couper les rivières et les fleuves, engloutir des terres et des villages, en construisant d’immenses retenues, avec totale modification des éco-systèmes + évaporation de milliers de tonnes d’eau : pas certain que l’environnement (aux coupes budgétaires 2015 déjà sévères... faut calmer la Ségolène) y trouve son compte.
Pour créer des emplois en relançant l’économie par de grands travaux, je vois une autre idée, beaucoup plus simple et moins nocive : creuser des trous puis les reboucher. Des smigards de jour à la creuse, des smigards de nuit au rebouchage. On peut varier les plaisirs ; l'un rebouche le trou de l'autre, c'est plus jouisif. Des emplois à la pelle ! Kergrist ministre de l'industrie, Iso à l'environnement et Knoppy à la culture ! La France est sauvée !
JK
-Perso, mes ratiches sont à la CMU, ce qui m'autorise un certain nombre de soins bas de gamme que mon dentiste soumis à l'ISF consent parfois à réaliser à contrecœur...
C'était quoi le sujet déjà ?
GK
-Cher ami, je n'ai pas pû mettre la main sur la liste des 37 métiers qui seront touchés. Il n'était pas douteux que le gouvernement s'attaque aux métiers de la santé, ils arrivaient tout de suite après les artisans du bâtiment qui réussissaient à peu près à s'en sortir financièrement, ils n'en ont plus pour longtemps ! Montebourg a dit dentiste ... et l'animateur radio lui a répondu ne serait ce pas plutôt les prothésistes ... Qu'importe, on connait le principe des vases
communiquants :
Si les dentistes ne sont pas dans la liste, ils seront de toute façon touchés de plein fouet. Car, m'expliquait il y a peu ma dentiste qui est vraiment géniale, un cabinet dentaire ne peut absolument pas s'en sortir rien qu'en prodiguant des soins. C'est grâce à la pause de prothèses qu'un cabinet fait sa marge ! Radios, Couronnes, Bridges, Appareils dentaires, Implants ... A soigner de simples caries le dentiste ne peut pas payer ses charges et sortir un salaire IMPOSSIBLE !
Très difficile aussi pour eux de travailler localement avec des petites boîtes et des produits spécifiques ... La grande firme mondiale Henry Schein membre du NASDAQ 100 est en train d'imposer tous ses produits à l'échelle de la planète et de faire fermer toutes les petites boîtes de composite au nom de la grande harmonisation HYGIENE SANTE SECURITE on est bordé. Henry Schein a la dent dure, il veut rafler le marché de la prothèse on comprend mieux la nouvelle loi ... En ce moment l'harmonisation de la profession dentiste passe par les logiciels obligatoires pour bosser et enregistrer les feuilles sécu etc ... 1500 euros, qui obligent à changer aussi les appareils informatiques rendus obsolètes par les mêmes nouveaux logiciels CQFD ...
C'est le même principe que le RGE reconnu Grenouille de l'environnement ... c'est la même honteuse manipulation !
Existe-t-il encore une profession libre dans ce pays ? Je pose la question.
En éliminant les petits artisans prothésistes, les dentistes passeront commandes à Henry Schein qui développe ses propres écoles de dentistes certifiés qui seront les ouvriers dentaires de demain qui bosseront avec les ouvriers prothésistes main dans la main et pour pas cher du tout ??? ! Nous, nous paierons de grosses factures salées ! C'est bien ce que je disais, tapez dans vos économies tant qu'elles sont encore sur vos comptes et faites vous soigner les dents ...
On peut imaginer sinon que demain dans les quartiers et les bourgs il passera un arracheur de dents avec une bonne paire de tenailles et une bouteille de mauvais Whisky comme dans les films de John Wayne dans le temps !
http://www.henryschein.fr/default.aspx
Quant aux grands projets, j'ai préféré rire en pensant, tiens vla qu'on nous refait le coup de Panama et demain Montebourg invitera tous les épargnants à placer leur argent dans les grands projets. A certains moments on se croirait en troisième république, Panama avait ruiné des centaines de milliers de petits souscripteurs ! Faut il que nos politiques manquent totalement d'imagination pour toujours refaire les mêmes propositions en pensant qu'on y verra que du bleu !
Attendons-nous dans les mois qui viennent à des grands projets de taille avec GDF Suez, enfin, des projets dans lesquels
l'état est actionnaire pardi ! A l'heure du grand virage énergétique les grands barrages sont une véritable offense à notre intégrité intellectuelle.
On devrait décerner à Montebourg la médaille d'horreur du prix Pinnochio !
Je suppose que là-haut Jaurès est en train de bouffer son chapeau.
Une question de survie nationale !
http://www.gouvernement.fr/gouvernement/une-loi-de-croissance-et-de-pouvoir-d-achat-pour-restituer-6-milliards-d-euros-aux-fran
Le prix Pinnochio
https://fr.search.yahoo.com/yhs/search?hspart=per&hsimp=yhs-per_003&type=_1DD_1DD12DD1DD6DD_1DD4DD_1&p=le+prix+pinnochio
Les Grands barrages turbinent ! Des dossiers propres et écologiques !
http://www.bastamag.net/Grands-barrages-des-groupes
Les grands ravages plutôt !
http://danieljaglinedjexreveur.over-blog.com/article-la-folie-des-grands-barrages-bresiliens-70077215.html
Iso
Tout le monde n’a pas le meurtre d’un Abel sur la conscience. Le clampin de base applaudit généralement des mains et des pieds toutes les techniques de surveillance aujourd’hui mises en place contre les criminels, les méchants, les terroristes, les fainéants, les voleurs, les fraudeurs aux Assedic, à la sécu, et... tous « les autres », c'est à dire ceux qui ne sont pas sages.
Pour ce qui est de lui-même, comme il n’a rien à cacher, il est presque flatté de pouvoir vivre sous le regard d’un dieu numérique. « Je suis surveillé donc j’existe ». Toujours ça de pris contre l’anonymat des vies de banlieue et des déserts ruraux!
« Lorsque vous composez un numéro de téléphone, sachez qu’il y a au moins sept personnes au bout du fil. » La boutade d’Edward Snowden, révélant les agissements de la Nsa, ne concerne pas seulement les ennemis du monde américain, dit « libre ».
Xerox France va plus loin qu’écoutes téléphoniques et caméras de surveillance : grâce aux techniques de géolocalisation sur smartphone, un ordinateur central suit tous les déplacements des employés de la firme au volant de leurs dépanneuses. Ceci évidemment pour « valoriser leur travail », mieux calculer leurs primes et «améliorer le temps d'intervention et la qualité du service aux clients».
Hélas, ces méfiants d’employés, qui doivent avoir beaucoup à dissimuler, sont peu convaincus des vertus d’un tel système d’espionnage permanent. Ils se sont récemment mis en grève les traîtres ! (cf aussi le mensuel "Options" de juin 2014)
Dans « Surveiller et punir » (1975) le philosophe Michel Foucault – à ne pas confondre avec le père Charles de Foucauld, ni avec l’amuseur télé, bien propre sur lui, Jean-Pierre Foucault- décrit un système carcéral, le « Panopticon », inventé par un autre philosophe, anglais celui-là, Jérémy Bentham, permettant aux matons de surveiller une prison grâce une tour circulaire centrale :
« Le vrai effet du Panopticon, c’est d’être tel que, même lorsqu’il n’y a personne, l’individu dans sa cellule non seulement se croie, mais se sache observé par un regard qui surveille et que chacun, en le sentant peser sur lui, finira par intérioriser au point de s’observer lui-même : chacun, ainsi, exercera cette surveillance sur et contre lui-même. »
En résumé : plus besoin de flic, quand chacun est incité à en fabriquer un dans sa tête.
JK
COMMENTAIRE 11/07/14
-Ah ah le panopticon je connaissais pas, mais ma mère faisait pareil avec le Père-Noël ! ... Régine, le père-noël te voit, il surveille tout ce que tu fais
si tu n'es pas sage, t'auras pas d'cadeaux ! Alors, je me tenais tranquille ! Ah mais c'est très efficace le panopticon, donc moi, comme panopticons j'avais
les trois quarts de l'année le Bon Dieu avec confesse obigatoire et remontage de bretelles tous les dimanches à la messe, et le reste du temps donc, le père-noël ! Et dans les intervalles, la mère supérieure de mon école ! Sans compter mon père et tout s'qui fait mâton !
Ensuite, quand j'ai mis en place les certifications NF logement ... j'avais comme panopticon le contrôleur AFNOR ! C'est exactement pour ça qu'on nous vend des Labels, dans chaque label, y a un PANOPTICON ! Alors tous les préposés marchent au pas ! Y a comme un rapprochement avec la carotte et le bâton si on veut aller par là ...
Finalement moi, je croirai que je suis vraiment surveillée par des oreilles et des yeux partout que lorsqu'on aura retrouvé l'avion perdu avec ses 250 passagers dedans, alors qu'ils avaient tous leur téléphone dans la poche en plus, non ? ! ! !
Oui oui c'est ça, on nous surveille ... Mais ON est un con. Et si tout l'monde se sent surveiller par tout'monde, chacun finit par croire que c'est vrai ...
C'est pas faux !
Mais la vérité dans tout ça ??? Et puis on, c'est qui ? Hein ?
Un pronom indéfini qui caractérise celui qui l'utilise !!!
*Souvent On est un con"
*Il était une fois quatre individus qu'on appelait
TOUT LE MONDE - QUELQU'UN - CHACUN - et PERSONNE .
Il y avait un important travail à faire ,
Et on a demandé à TOUT LE MONDE de le faire .
TOUT LE MONDE était persuadé que QUELQU'UN le ferait ..
CHACUN pouvait l'avoir fait , et PERSONNE ne le fit.
QUELQU'UN se fâcha car c'était le travail de TOUT LE MONDE !
TOUT LE MONDE pensa que CHACUN pouvait le faire
Et PERSONNE ne douta pas que QUELQU'UN le ferait …
En fin de compte, TOUT LE MONDE fit des reproches à CHACUN
Parce que PERSONNE n'avait fait ce que QUELQU'UN aurait pu faire .
*** MORALITÉ ***
Sans vouloir le reprocher à Tout le monde ,
Il serait bon que Chacun
Fasse ce qu'il doit sans nourrir l'espoir
Que Quelqu'un le fera à sa place …
Ou le fasse par peur d'être surveillé !
Car l'expérience montre que
Là où on attend Quelqu'un ,
Généralement on ne trouve Personne .
Iso


Quand j'étais petite, y avait pas la télé. Quand on l'a eu, j'avais 6 ans, et le droit de regarder Pimprenelle et Nicolas seulement, j'allais me coucher après le marchand de sable, sur le petit air de harpe qui collait si bien avec le sable brillant ... J'adorais Zorro et Ma sorcière bien aimée ! Mais je passais tout mon temps pieds nus sur la falaise ou dans la baie.



On serait plus intéressé par se refiler des graines de laitues ou à trouver des trucs et transformer, des machins adaptés à ce qu'on veut vraiment ! On prendrait le temps de chercher les puces à nos chiens au lieu de les arroser intensivement d'insecticide en pipette et de chercher des poux dans la tête de nos belles mères ou d'un con de voisin. Rien à foutre de se faire tous vacciner contre la grippe H1N1 ... A vivre dehors, on reprendrait de l'assurance physique. On réapprendrait à comprendre le terrain pour construire comme faisaient nos aïeules qui faisaient bien mieux que nous en plus énonomique et plus intelligent. On ferait avec le climat, en gros, on s'adapterait tous différemment ! On ferait comme le douanier de Fernand Reynaud qui cueillait ses airelles ... Et puis dans les grandes villes à Sarcelles, Mantes la Jolie, ou dans les quartiers chauds de Marseille, on développerait autre chose aussi, d'abord on inventerait des stages de transition et de désintox pour toutes les générations ! On referait de la musique du chant choral et des cours de danse et en avant, et puis du sport dans tous les coins pour aérer nos corps et libérer nos cerveaux ! Et puis de la peinture, et du théâtre et les arts du cirque ... Et on se regrouperait pour faire corps !
Oui mais après tout ça, va nous commander toi, hein ! Va nous commander après ça ! ...
Homme endetté, limace, devant ta télé. Limace !
COMMENTAIRES 8/07/14
-La télé c’est pas pire qu’un fusil. Si le fusil est en bois et les balles en chewing-gum, on peut bien rigoler avec, ou s’amuser à faire chier le pépé rivé devant sa télé.
Faut mettre un peu de rationalité dans tout ça.
C’est le but de ce blog : lancer un sujet et réfléchir derrière. Ce qui n’interdit ni coups de gueule, ni calembours, ni mauvaise foi.
C’est certain, Iso, que ce gros truc rectangulaire avec programme pour ménagère de moins de 50 ans a vécu.
Mais les liens avec le monde, qui nous ouvre la tête et le cœur en nous rendant parfois moins con, n’ont pas fini de se conjuguer sur des supports multiples.
J’ai viré ma télé, il y a déjà quelques années, pour m’installer un vidéoprojecteur et un écran. En plus l’ensemble coûte moins cher. Je peux me projeter ce que je veux à partir de mon ordi, d'un lecteur de dvd, de ma box, du cable ou du satellite. Y compris un concert ou un spectacle de danse retransmis par Arte. Si ces flemmards d’intermittents (cf article 77) n’avaient pas foutu le feu au palais des papes vendredi dernier, j’aurais certainement regardé la retransmission en direct du Prince de Hombourg, … ce qui ne m’empêche pas ensuite d’aller faire un tour au bistrot ou de te filer des graines de laitues.
JK
-Ben tiens, sûr que découvrir le monde à la télé, moi je l'ai fait ! D'autant que pour me promener en voiture pour voir du paysage quand j'étais poutite, c'était une vraie torture. Rapport que j'avais le terrible mal de voiture. Atroce ! Au bout d'un kilomètre, je vomissais ! Je vomissais ! C'était affreux comme supplice. J'étais de la deuxième génération de ma lignée à refuser les déplacements rapides ! Parfaitement ,ouais, depuis Cro Magnon toute mon
ascendance avait marché à pieds ou à cheval, enfin, lentement quoi, alors moi, j'aurais bien aimé, aimer la voiture pour voir du pays, mais mon corps lui, refusait tout ça ! C'est fou comme on peut se laisser dominer parfois. Je crois que mon corps, il est plus savant que moi. Il m'envoie des messages désespérés parfois, mais le temps que je comprenne ... CRAC il me bloque ce cochon là ! Et une fois que je suis coincée, alitée, les yeux dans les nuages qui passent lentement, je comprends ce qui m'arrive et je corrige le tir !
Pour la télé, je me rappelle comme si c'était hier, pour la première fois, découvrir l'afrique noire, OH ! AH ! Un petit village dans la brousse avec des petits enfants noirs qui courent tous nus et des mamans qui ne portent pas de soutien-gorge ni de chemisier ! Alors là, j'étais sidérée ! Et pas de cuisinière pour faire à manger ! Bref, tout ça m'avait beaucoup fait rêver !
Et depuis certes, j'ai vu des merveilles et je me suis extasiée ! Mais depuis quelques années, là encore, c'est mon corps qui me parle, y a rien à faire, j'ai du mal à l'approcher cette putain de boîte carrée qui me fait pire que bien ... On dirait même que mon corps la fuit, comme la bagnole autrefois ! ça me fait un truc moins violent, beaucoup plus subtile, ça doit être le vieillissement, ça me donne l'impression de consentir à m'empoisonner à tout petit feu ... Allons allons vous prendrez bien une petite dose d'arsenic, avec un sucre !
Ceci dit mon père, je confesse que dimanche, j'ai regardé George Sand, avec Ariane Ascaride ... C'était trop bien. George Sand, comme j'avais pas le droit de regarder la télé, je la lisais, planquée dans la cabine du bateau de mon père qu'il ramenait à sec l'hiver. Comme j'étais épaisse comme une crevette, zip, je remontais un petit peu la porte à guillotine de la cabine et hop je me glissais par en dessous ! Dans ma poche une ou deux pommes, et là, dans ma cachette, loin du monde où personne ne pouvait me trouver, je voyageais à mon idée, à la vitesse que je voulais et mon corps était content de son palace et son emploi du temps !
Quand je m'arrête à Bourges, je réserve une chambre d'hôtes, chez Oliver, dans un vieux presbytère incroyable !
Les Bonnets Rouges ça s'appelle ... je me promène dans les marais et là, sans la télé, je me fais mon film avec George ...
Iso

La France est le plus gros utilisateur de pesticides d’Europe (autour de 70 000 tonnes par an). À surfaces équivalentes, 10 fois plus qu’aux USA. « Génération futures » a fait analyser les cheveux des enfants vivants en zones agricoles : 21 résidus de pesticides en moyenne ont été détectés sur chaque mèche. 20% des pesticides consommés en France le sont par les viticulteurs qui ne cultivent pourtant que 3% des « surfaces agricoles utiles ».
La brave viticultrice du château Castel la Rose, auteur de l’épandage de Villeneuve, également maire de la commune, a évidemment protesté de son innocence. Cette école, elle l’a elle-même fréquentée avec ses enfants, c’est dire ! Et en plus elle est adepte de la « viticulture raisonnée ». Tout ça c’est de la faute à la météo. Le vent souffle où il veut, le salaud. (Le Monde du 5/07/14). C’était déjà écrit dans la bible.

Et notre céréalier favori Xavier Beulin, cumulant les rôles de patron de la FNSEA et de directeur de Sofiprotéol, bouffeur de Glon-Sanders, président du port en eaux profondes de la Rochelle, d’arroser son biscuit dans tous les médias pour réclamer l’autorisation d’épandre les pesticides ras les jupes des institutrices et directo dans la gorge des soiffards.
À l’arrivée, la bonne bouteille millésimée trônant sur votre table festive est chargée ras le goulot de poisons divers. Aussi redoutables qu’une lampée de mort-au-rat. De quoi descendre le caviar en désherbant votre estomac. Celle que vous tendez généreusement à vos amis, comme gage du bon repas qu’ils vont vous offrir, s’apparente à un empoisonnement intentionnel, puni par le code pénal. Infertilité, malformations, cancers : n’allez pas vous étonner si vos hôtes portent ensuite plainte contre vous.
En attendant vous pouvez toujours ne boire et n’offrir (par exemple au vernissage de Knoppy - article 90) que du vin bio et signer, sur change.org, la pétition contre l’épandage à moins de 200 mètres des écoles, lieux publics et habitations. Déjà 122 000 signataires en 15 jours ! Les 7 et 8 juillet l’assemblée nationale débat de la loi sur l’avenir agricole. C’est le moment d’épandre votre détermination à moins de 200 mètres des législateurs !
Page 39 sur 55